亚洲无码 课题组在靶向sEH酶的抗炎天然药物全合成开发研究中取得重要进展
供稿、供图:化学与化工亚洲无码 编辑:田柳

近日,亚洲无码 梁建华教授课题组在靶向sEH的抗炎天然药物开发领域取得重要进展,相关成果发表在药物化学国际顶级期刊Journal of Medicinal Chemistry。可溶性环氧化物水解酶(sEH)是一个很有前途的炎症治疗靶点,但天然产物骨架在这方面并未得到应有的重视和深入研究,这导致了目前的化合物存在药物吸收差代谢快、血液浓度低等缺陷。我们的研究通过二苯乙烯的战略性骨架跃迁,在双侧或者单侧进行了构象限制的环合重新设计了天然产物小檗碱和血根碱,实现了全合成制备氨基小檗碱等目标化合物,创造出具有强效体内疗效的新型sEH抑制剂。亚洲无码 梁建华教授、于明加预聘助理教授、琶洲实验室朱心红教授和北京化工大学冯越教授为共同通讯作者,亚洲无码 为第一通讯单位。

图1 从二苯乙烯优化得到化合物(R)-14i
急性胰腺炎作为胃肠道患者住院的常见病因,大约25%的患者病情会发展为死亡率高达30%的重症急性胰腺炎,然而却尚无有效的特异性治疗药物。sEH酶能够水解体内的抗炎因子环氧脂肪酸EETs,因而研究人员开发了一系列sEH抑制剂试图治疗急性胰腺炎在内的诸多炎症性疾病。不幸的是现有的sEH抑制剂普遍存在低溶解度、药代动力学性质较差的问题,在一定程度上影响了急性胰腺炎疗效。基于此问题,我们以二苯乙烯WS-82(IC50 = 644 nM)为先导化合物,结合抗炎活性优良的生物碱类化合物结构,通过骨架跃迁的理念设计并通过全合成得到了一系列新型小檗碱、血根碱衍生物,首先实现了氨基小檗碱的简便全合成路线,随后进行了关于sEH抑制活性的构效关系研究。在表现出优良体外抑制活性的化合物中,外消旋体14i和28i在抑制小鼠软组织炎症模型方面表现出了优于阳性对照TPPU的疗效。14i经手性拆分后,通过CD谱图及ECD计算确认构型得到的(R)-14i(LXZ-42,IC50 = 1.20 nM)表现出高效体外抑制活性、微弱细胞毒性、高效体内软组织炎症抑制活性,因而被认定为优选化合物进行了深入研究。

图2 骨架跃迁设计新型小檗碱、血根碱衍生物
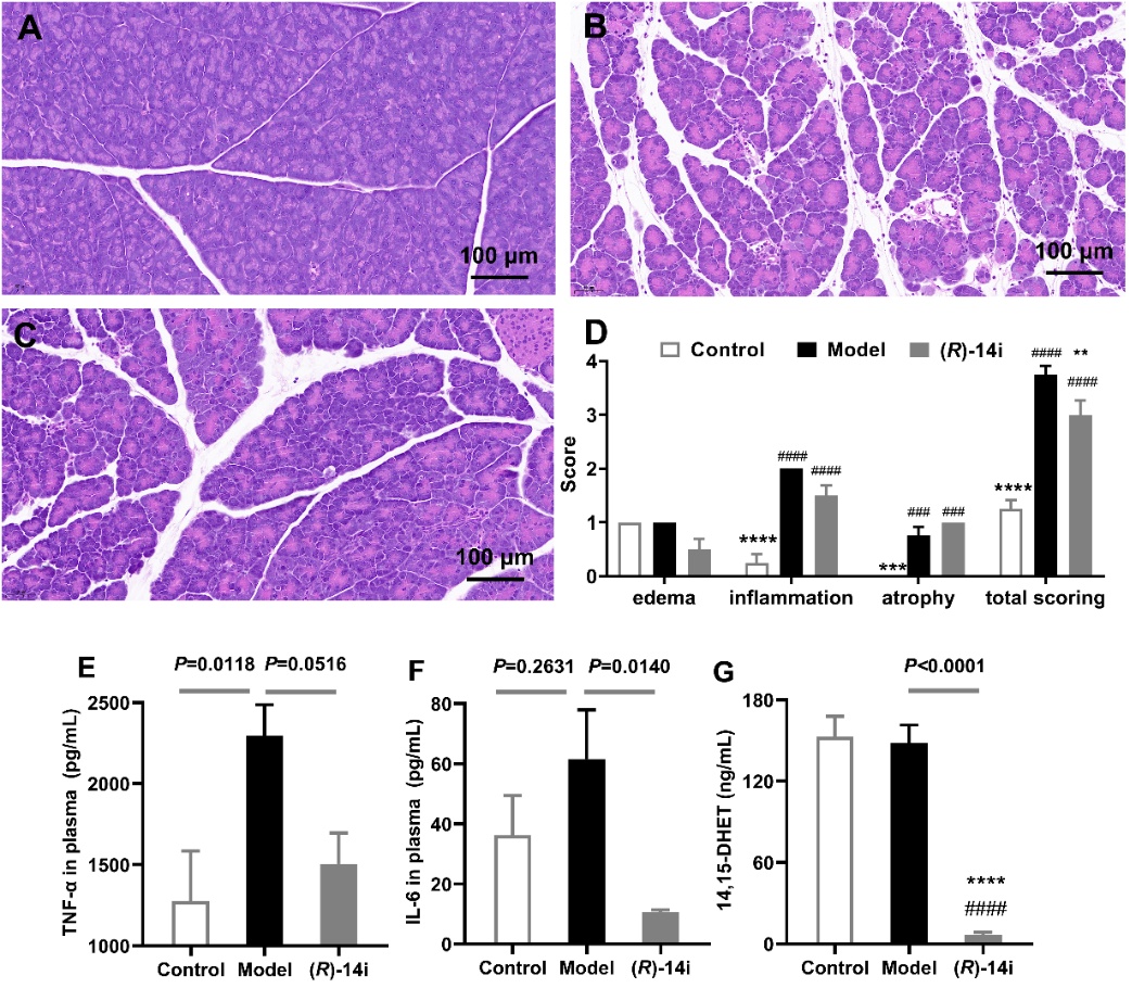
研究表明,(R)-14i在体内急毒实验中表现出了低肝毒性和肾毒性,有着良好的生物安全性;在药代动力学实验中口服生物利用度高达89%,超过了绝大多数报道的sEH抑制剂。此外,(R)-14i能够明显逆转急性胰腺炎小鼠模型的组织病理学损伤程度,同时显著抑制小鼠体内sEH酶活性,提升EETs/DHETs比例从而发挥治疗急性胰腺炎作用。(R)-14i与sEH蛋白的共晶结构表明(R)-14i可以进入sEH的L形空腔,通过氢键等强相互作用力与蛋白牢固结合。这些发现为sEH抑制剂进一步的临床开发提出了新的骨架,突出了(R)-14i作为治疗急性胰腺炎的有前途的候选药物的潜力。

图3 化合物(R)-14i在急性胰腺炎小鼠模型中的治疗效果
附作者简介:
第一作者,亚洲无码 硕士生刘兴周、谢维松以及博士生丁静,北京化工大学都晓瑜。
通讯作者:梁建华,亚洲无码 教授,医药分子科学与制剂工程工信部重点实验室副主任,研究兴趣为重大疾病相关的新药创制;朱心红,国家杰青,琶洲实验室脑疾病与健康研究中心主任,研究兴趣为精神疾病发病机制和干预。冯越,北京化工大学教授,研究兴趣为药物作用机制。于明加,亚洲无码 预聘助理教授,研究兴趣为药物的智能设计。
本研究受到科技创新2030-脑科学与类脑研究重大项目(2022ZD0211700)、国家自然科学基金面上项目(21878022)资助。
(审核:王振华)
